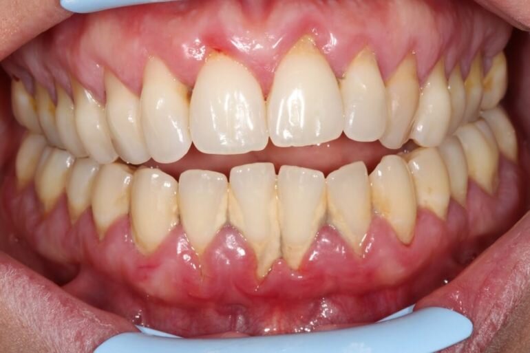
La malattia parodontale causa un ritiro dell’osso alveolare che sostiene i denti
Questa situazione determina un aumento della sensibilità,una minore stabilità e spesso una maggiorecariorecettivita’.
La prima terapia è la pulizia dei denti eseguita in modo coretto e approfondito.
