Via Adige 13
Cusano Milanino
Milano
20095
Italia
Informativa sulla privacy
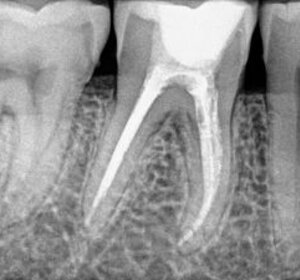
ENDODONZIA - DEVITALIZZAZIONE (mal di denti)
L ‘endodonzia è quella branca dell’ odontoiatria che si occupa della polpa del dente ossia un insieme di tessuto nervoso, vasi sanguigni e connettivo che si trova dentro il dente.
Per capire perchè abbiamo mal di denti è necessario sapere come è fatto un dente.
Il dente è costituito da:
- uno strato più esterno detto smalto dentale
- da uno strato intermedio detto dentina
- da uno strato più interno detto polpa dentaria o nervo del dente.
la polpa dentaria o nervo del dente è costituito da
- vasi sanguigni responsabili del nutrimento e della difesa del dente contro tutte le aggressioni dei germi
- Dal nervo del dente che è responsabile della sensibilità termica agli acidi e si connette all’osso
- Dal tessuto connettivo che sostiene queste strutture
Quando il dente si danneggia a causa di carie o traumi la polpa del dente reagisce infiammandosi e determina dolore

Cosa causa il mal di denti?
Il mal di denti è dovuto da tutti quei traumi che portano a un danneggiamento della parte più esterna del dente, tra questi troviamo
- la carie dentale: in questo caso i germi danneggiano lo smalto del dente e penetrano in profondità fino a determinare una reazione infiammatoria del nervo
- Traumi acuti :in questo caso i traumi acuti al dente, come una caduta, possono portare alla rottura dello smalto che non svolge più la sua funzione di protezione e quindi il nervo si infiamma
- Traumi ripetuti: il continuo digrignamento dei denti detto bruxismo, porta a un trauma di tutto il dente
Come mi accorgo di avere bisogno di un trattamento di endodonzia - devitalizzazione?
I segni di una polpa infiammata sono:
- Dolore
- Aumentata sensibilità al caldo e al freddo
- Dolore alla masticazione
- Gonfiore
- Dolore ai linfonodi
- Dolore alla palpazione della gengiva vicino al dente
Come si cura il mal di denti?
la cura consiste nella devitalizzazione - endodonzia del dente, ossia:
- viene aperto il dente fino ad arrivare alla camera pulpare: si accede alla polpa attraverso una cavità preparata sul lato masticante del dente
- Reperimento dei canali radicolari
- Misurazione della lunghezza del canale
- Strumentazione dei canali radicolari: mediante questi strumenti viene asportata la polpa infetta
- Lavaggi canalari con ipoclorito di sodio: questa soluzione permette di disinfettare e sterilizzare l’interno del dente
- Otturazione del canale mediante materiali appositi
- Ricostruzione della corona del dente
Via Adige 13
Cusano Milanino
Milano
20095
Italia
Informativa sulla privacy