Via Adige 13
Cusano Milanino
Milano
20095
Italia
Informativa sulla privacy
PARODONTITE? PREVIENI, TRATTA E RISOLVI LA MALATTIA INVISIBILE DI CUI SOFFRONO 6 ITALIANI SU 10!
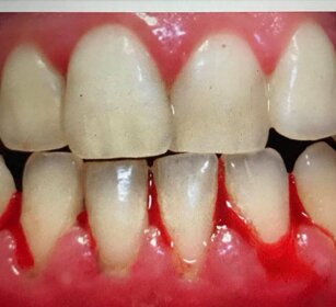
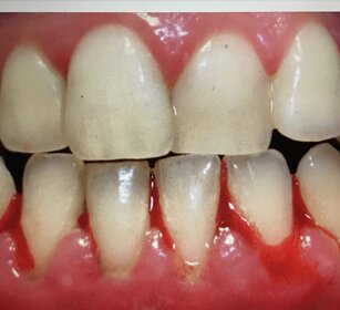
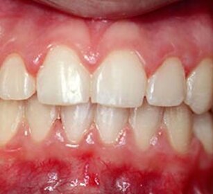
La parodontite consiste nella patologia delle gengive gonfie, delle gengiviti, delle gengive infiammate e sanguinanti, dei ritiri ossei e dei ritiri gengivali.
Con il termine parodontite si intendono tutte quelle infiammazioni delle gengive a che attaccano anche tutte le strutture di sostegno dei denti.
La bocca è la porta di ingresso principale del nostro organismo ed è quindi importante impedire ai germi e batteri di produrre delle infezioni del cavo orale che possono diffondersi a tutto l’organismo.
Purtroppo le malattie parodontali sono al giorno d’oggi molto diffuse, infatti circa il 60% degli italiani soffre di questa malattia nelle forme lievi mentre il 15% soffre delle forme più gravi.
Molto spesso i disturbi gengivali vengono sottovalutati e ci si accorge del problema quando la malattia parodontale si trova in uno stadio avanzato.

Cosa causa la parodontite?
- Il tartaro e la placca batterica: questi svolgono un’ azione meccanica che porta a un progressivo distacco della gengiva e a un ritiro dell’osso di sostegno del dente.
- Malocclusioni: avere dei denti che non sono correttamente allineati porta sia a delle maggiori difficoltà nelle manovre di igene orale che ad una masticazione che sottopone i denti a carichi anomali.
- Mancanza di denti: la perdita di denti porta a un aumento del carico dei denti superstiti con una conseguente maggiore usura sia del dente che del osso che lo sostiene.
- Fumo: è stata dimostrata una correlazione tra fumo e alterazioni delle gengive dovuta soprattutto al calore.
- Diabete: questa patologia porta a una alterazione della circolazione sanguigna che si manifesta in molti organi ma anche nella bocca.
Come si manifesta la parodontite?
- Gengivite o infiammazione delle gengive: il nemico principale di denti e delle gengive è la placca batterica, ossia una pellicola costituita da germi e batteri che insieme ai residui di cibo si attacca alla superficie dei denti provocando la formazione di tartaro e l’ irritazione delle gengive che fanno male e di conseguenza sanguinano
- Formazione delle tasche gengivali di medie dimensioni: la placca batterica non rimossa si calcifica formando il tartaro e questo si deposita tra dente e gengiva staccando parzialmente il dente e formando delle tasche gengivali, queste si possono infettare dando luogo ad ascessi parodontali.
- La parodontite peggiora è da luogo alla piorrea: in questa situazione il tartaro e la placca batterica hanno portato alla formazione di tasche gengivali molto grosse e piene di germi che staccano il dente da osso e gengiva, e quindi il dente non avendo più supporto cade.


Le soluzioni per contrastare la parodontite
Premesso che la parodontite è una patologia cronica, è comunque possibile tenerla sotto controllo.
- Rimuovere periodicamente il tartaro attraverso sedute di igiene professionale
- Correggere le malocclusioni con apparecchi ortodontici
- Ripristinare la masticazione dove ci sono denti mancanti per mezzo di ponti o impianti
- Tenere sotto controllo le malattie come il diabete, disturbi vascolari
- Smettere di fumare
Studio Dentistico Dottoressa Paola Cestari
Via Adige,13
Cusano Milanino - 20095 Milano
E-mail: cestarip@tiscali.it
Via Adige 13
Cusano Milanino
Milano
20095
Italia
Informativa sulla privacy